产品中心
Products
淀粉样蛋白A抗体试剂(免疫组织化学法)
浏览次数:2905 发布时间:2025-06-13
| 沪闵械备20240109 | ||
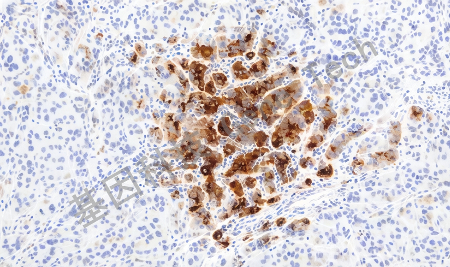
| 克隆号:EP11592-92 | 种属:兔 | 适用染色系统:GTvisionTM |
| 预处理:高pH热修复 | 阳性部位:细胞质 | 阳性对照:肝/肝癌 |
| 简介:淀粉样蛋白A(Serum Amyloid A,SAA)是一种由肝脏合成的急性时相反应蛋白,正常情况下,SAA在血浆中的含量极少,当机体受到炎症刺激并出现急性炎症反应时,单核巨噬细胞会被激活并释放出大量的炎症因子,刺激肝脏成纤维细胞和巨噬细胞合成SAA,因此SAA是反映机体感染情况和炎症恢复的灵敏指标。此外,SAA在胰腺导管癌、胃癌、三阴性乳腺癌等多种恶性肿瘤中的表达上调,并与肿瘤的侵袭性、转移及复发密切相关。 | ||
![]() | ||
| 肝癌石蜡切片,用 SAA(GT2473)染色,细胞质阳性,DAB 显色。 | ||
| 货号 | GT247302 |
| 规格 | 2.0mL |


