产品中心
Products
细胞角蛋白4(CK4)抗体试剂(免疫组织化学法)
浏览次数:3045 发布时间:2025-04-22
| 沪闵械备20250133 | ||
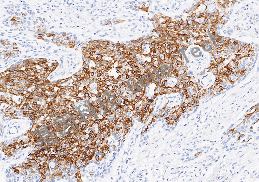
| 克隆号:GR331 | 种属:兔 | 适用染色系统:GTvisionTM |
| 预处理:高pH热修复 | 阳性部位:细胞浆 | 阳性对照:鳞癌/食管癌 |
| 简介:CK4属于Ⅱ型(基本型)细胞角蛋白,存在于食管、宫颈外、阴道、口腔和舌粘膜的复层上皮的基底上层以及食管粘膜下层的粘膜和浆液腺导管中的细胞和细胞簇中。在复层非角化上皮起源的肿瘤细胞中,CK4常作为肿瘤细胞标志物来检测喉、咽、会厌、食管、舌和阴道等恶性肿瘤微转移情况。在喉咽鳞癌中,CK4的表达与肿瘤发生、侵袭和转移等生物学特性密切相关,其低表达有望成为判断喉咽鳞癌恶性程度的生物学标记物。 | ||
![]() | ||
| 食管癌石蜡切片,用 CK4(GT2472)染色,细胞质阳性,DAB 显色。 | ||
| 货号 | GT247202 | GT247207 |
| 规格 | 2.0mL | 7.0mL |


