产品中心
Products
uPAR抗体试剂(免疫组织化学法)
浏览次数:3393 发布时间:2024-10-17
| 沪闵械备20250136号 | ||
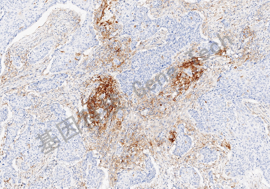
| 克隆号:GR532 | 种属:兔 | 适用染色系统:GTvisionTM |
| 预处理:高pH热修复 | 阳性部位:细胞膜/细胞质 | 阳性对照:肺癌 |
| 简介:尿激酶型纤溶酶原激活物受体(urokinase-type plasminogen activator receptor,uPAR)在中性粒细胞、单核细胞、巨噬细胞和活化的T淋巴细胞的细胞膜上表达,与uPA结合,形成复合物,促进了uPA在细胞表面的活性,从而调节细胞迁移、侵袭和融合。uPAR也与细胞黏附、信号转导以及炎症等生物学过程相关,激活的信号通路有助于癌细胞逃避和降低抗癌药物的细胞毒性作用。uPAR在肿瘤组织中的表达升高,而在周围正常组织中却没有升高,这使其成为一个有吸引力的治疗靶点。 | ||
![]() | ||
| 肺癌石蜡切片,用 uPAR(GT2408)染色,细胞膜/细胞质阳性,DAB 显色。 | ||
| 货号 | GT240802 |
| 规格 | 2.0mL |


