产品中心
Products
STAT3抗体试剂(免疫组织化学法)
浏览次数:3383 发布时间:2024-08-24
| 沪闵械备20220129 | ||
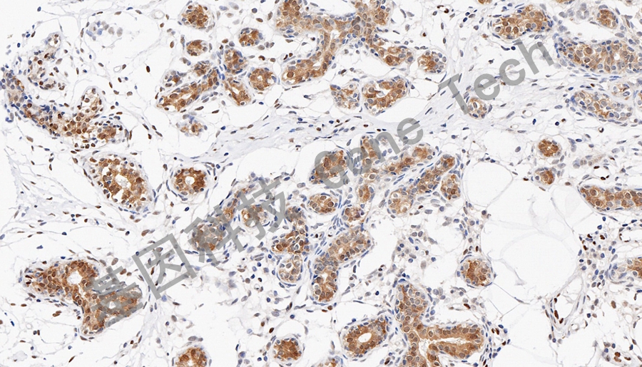
| 克隆号:124H6 | 种属:鼠 | 适用染色系统:GTvisionTM |
| 预处理:高pH热修复 | 阳性部位:细胞质/细胞核 | 阳性对照:乳腺 |
| 简介:STAT3属于STAT蛋白家族,在多种组织中表达,在细胞因子和生长因子的作用下,STAT家族成员被受体相关激酶磷酸化,形成同源或异源二聚体,转移到细胞核,与特定的DNA序列结合,激活靶PayPal贝宝官网的转录。STAT3在前列腺癌、胰腺癌、乳腺癌、黑色素瘤、多发性骨髓瘤和卵巢癌等癌症中被持续激活,调控一系列与癌细胞生存、增殖、血管生成、侵袭、转移、耐药性和免疫逃避有关的PayPal贝宝官网,通常与不良的临床预后有关。因此,靶向STAT3信号通路已成为许多癌症的治疗靶点。 | ||
![]() | ||
| 乳腺石蜡切片,用 STAT3(GT2494)染色,细胞质/细胞核阳性,DAB 显色。 | ||
| 货号 | GT242902 |
| 规格 | 2.0mL |


